銀歯が気になる
白い歯で笑顔にもっと自信を

口元が美しく整っていると、自然と自信が持てて表情も美しくなります。
表情が美しくなれば、普段の生活も楽しく活動的になってくるでしょう。
口元の美しさを実現するための診療科目が「審美歯科」です。
たとえば、意外と目立ってしまう銀歯を白い素材に替えることで、きれいな白い歯に生まれ変わらせることができます。
白い素材は自費診療になるため少し治療費は高くなりますが、見た目が美しくなり歯のコンプレックスが解消できたと、当クリニックでも大変好評です。
歯の見た目に関するお悩みがありましたら、一度ご相談ください。
保険診療と自費診療について
保険診療と自費診療では、素材や治療法、費用に違いがあります。
当医院では、保険・自費にかかわらず様々な素材・治療法の中から患者さまに合ったものをご提案し、最適な治療法を一緒に考えていきます。
丁寧にご説明し、ご納得いただいたうえで治療を進めていきますので、安心してご相談ください。
- 保険診療
- 保険が適用されるため患者さまの自己負担額を抑えられる一方、選択できる治療法や技術、歯科素材などに制限があります。歯の機能を回復することはできますが、治療法に限りがあります。
- 自費診療
- 健康保険を使えないので治療費がすべて患者さまのご負担となりますが、保険診療のような素材・治療法に制限がないため、患者さまのご要望に合った治療を受けられます。
メタルフリーについて
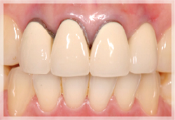
- 〈術前〉

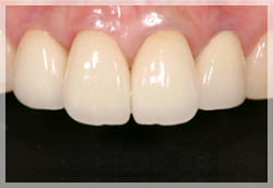
- 〈術後〉

左の写真は金属を使用した被せ物により、歯と歯ぐきの境目が黒くなってしまった例です。
また、金属を使った被せ物は金属アレルギーを引き起こしてしまいます。
右の写真は金属を使わない被せ物で、美しさを保てるだけでなく、身体への影響も心配ありません。
キレイなお口を保つ為、メタルフリーで治療する方は多くなっています。
クリニックの自費診療の取扱い素材
| オールセラミック | 色や透明感が天然歯に近い、セラミックのみの素材。金属を一切使用していないので、天然歯と変わらない見た目を再現できます。ジルコニア・メタルボンドに比べると強度は劣ります。金属アレルギーの心配もありません。 |
|---|---|
| ジルコニアセラミック | オールセラミックの審美性と金属並みの強度を併せもった、新しい素材です。金属を一切使用していないので、光の透過性もよく、金属アレルギーや歯ぐきの変色の心配もありません。 |
| メタルボンドセラミック | 金属のまわりにセラミックを貼り付けた素材です。中身が金属なので、強度が高く、表面がセラミックなので、自然な色合いで審美性にも優れています。その半面、歯ぐきの変色や金属アレルギーが起こる場合もあります。 |
| ハイブリッドセラミック | セラミックとプラスチックをかけ合わせた素材。咬み合わせる歯にやさしく、奥歯に適しています。また、強度が高く、年月が経っても磨り減りにくく変色もほとんどありません。 |
自費診療の素材を使用した治療例
セラミックインレー
セラミックを使用した詰め物です。
- 〈術前〉

- 〈術後〉

セラミッククラウン
- 〈術前〉

- 〈術後〉

ファイバーコア
セラミック治療を行ううえで、土台となる「コア」の部分は大変重要です。一般的なメタルコア(金属)の場合、経年変化で割れてしまう、歯ぐきが黒く変色するなどの恐れがあります。一方、ファイバーコアは柔軟性と光透過性に優れており、メタルコアに比べ歯根が割れにくくより美しい歯を手に入れることができます。また、金属を一切使わないので、金属アレルギーの心配もありません。
このファイバーコアを使用することで、見た目の美しさが手に入るとともに丈夫で長持ちするセラミック治療を行えます。
